腸管出血性大腸菌 O157
O157とは
「大腸菌」自体は、私たちのおなかの中などにごく普通に存在する菌ですが、その種類は何百種もあります。
		その菌を分類するときの基準として、「O抗原」と「H抗原」があり、これらの抗原の違いを番号で表しています。
| O抗原 | 菌の表面の糖脂質の化学構造の違いにより、発見順に番号で区別する。 | 
| H抗原 | 菌の表面に存在するべんもうの種類を番号で区別する。 | 
「大腸菌O157」は、大腸菌のうちO抗原が157番目でH抗原が7の場合、「大腸菌O157:H7」と表現されます。
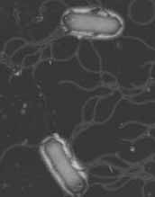
		O157
	一般に「腸管出血性大腸菌O157」と呼ばれていましたが、現在では「ベロ毒素産生性大腸菌 O157」とも呼ばれています。
「ベロ毒素」とは
ベロ細胞(アフリカミドリザルの腎臓の細胞を試験管の中で培養してできた細胞)を殺す毒素をいう。
主な症状
一般的な症状は次のようなものですが、最近ではほとんど症状を示さない無症状保菌者が多く、潜在的な感染源になりうることが指摘されています。
・鼻水、咳、悪寒がするなど、かぜのような症状が現れます。
・次いでみぞおちから右下腹部の強い痛みと、水様性下痢の症状が出ます。
・下痢が始まって3~4日後には下血様の鮮血性下痢が見られることもあります。
・特に年少者の場合は溶血性貧血、腎障害などの症状がある溶血性尿毒症症候群に陥り、けいれんや昏睡などの脳炎症状を現します。死に至る場合もあります。
予防
この菌は、熱や消毒薬に対する抵抗性はそれほどでもありません。現在、この菌の汚染源として疑われるのはおもに肉類ですが、家畜(特に牛)の糞便にも存在が確認されていますので、汚染の可能性のある生野菜などの調理にも気をつけましょう。
・調理の前には手をよく洗う。
・肉類は充分に加熱調理する。
・肉類を調理したまな板や包丁などの調理器具は熱湯消毒などで清潔にする。
・生野菜は充分に流水で洗うか、できるだけ加熱調理する。
なお、家族に患者が発生した場合には、介護などで患者の糞便等に接する場合が多くなります。 患者の糞便には非常にたくさんの菌が含まれていますので、衣類の消毒や汚物処理後の手指の消毒など、細心の注意が必要です。