キツネが減った!!
北海道立衛生研究所生物科学部衛生動物科研究主査  浦口宏二

  キタキツネは、道民にとってなじみの深い動物です。札幌のような都市部にも出没し、かわいらしい姿から、北海道のマスコット的存在として親しまれていま す。一方で、エキノコックス症の媒介動物でもあり、このような動物が人の近くに多数生息していることは、公衆衛生上、注意が必要な状況といえます。そんな キツネを、「最近、見かけないなあ」と思ったことはありませんか? 実は近年、どこにでもいるはずだったキツネに異変が起こっています。
 道立衛生研究所は、エキノコックス症対策の研究のため、道東の根室半島でキツネの生態調査を続けています。約70平方キロメートルの調査地域に150を超える巣穴を発見し、これらを毎年春に見まわることで、この地域のキツネの個体数を推定してきました。
  1987年から1997年までの11年間、キツネの数は比較的安定しており、この地域には毎年平均24の家族が生息していました。ところが、1998年の 春からその数が急に減り始めたのです。1998年には家族数が平年の半分以下の11に、2000年には6にまで減少してしまいました。3年間で平年の 1/4 になったことになります。
 原因は何だったのでしょうか?
 餌が減ったのでしょうか? この地域のキツネのおもな餌は野ネズミと残飯です。衛生研究所の調査では、根室半島 の野ネズミは数年周期で増減を繰り返しており、キツネが減り始めた年やその前年は、野ネズミはむしろ多かったことがわかっています。一方、残飯の量の推定 は困難です。しかし、根室市の人口が1998年前後に急変したということはないので、捨てられる残飯が急に減ったとは考えにくいのです。原因は餌ではない ようです。
 では、ハンターがキツネを捕りすぎたのでしょうか? 根室半島では、おもにエキノコックス症対策のため、毎年キツネが捕獲さ れています。1991年以降、半島内の年間捕獲数は70頭前後で、少しずつ増える傾向にありましたが、1997年に特に多くのキツネが捕獲されたわけでは ありません。捕獲のせいとも考えられませんでした。
 では、なぜキツネが減ってしまったのでしょう?

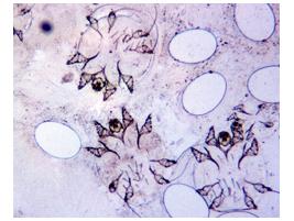
疥癬(かいせん)
 ヒントは1998年の冬に示されていました。
 道が行うエキノコックス症媒介動物の解剖検査で、1998年3月、根室半島のキツネから初めて疥癬の個体が発見されたのです。
  疥癬とは、ヒゼンダニという小さなダニが、動物の皮下にトンネルを作って繁殖することで引き起こされる皮膚病です。重症化すると体や尾の毛が抜け、皮膚が 厚く硬くなり、ひび割れます。激しい痒みがあるため、キツネは患部をかきむしり、その傷口から細菌感染も起こります。顔面に寄生した例では、目の周りの皮 膚が硬くなり、ほとんど目が開かなくなった個体もありました。こうなると餌も捕れなくなり、キツネは痩せ衰えてやがて死んでしまいます。この病気は、感染 している個体と体を接触させることや、同じ場所を寝床に使うことなどによって感染します。親子の中に1頭でも疥癬の個体がいれば、すぐに家族全員に感染し てしまうでしょう。また、分散行動や交尾期の移動によって流行地域も拡がると考えられます。

ビゼンダニ

 この病気がキツネの個体数におよぼす影響は、すでに北欧のスウェーデンから報告されています。スウェーデンでは1970〜80年代にキツネの間に疥癬が 流行し、これに伴って、キツネの狩猟数が減少してしまいました。また、わが国で初めてキツネの疥癬が確認された知床半島でも、疥癬のキツネが発見されてか ら、夜間の個体数調査で目撃されるキツネの数が明らかに減少したと言われています。
 これらの情報から見て、根室半島のキツネの減少は疥癬によるものと考えられました。

全道の流行状況
  北海道のキツネの疥癬は、1994年に知床で初めて確認され、その4年後に根室で発見されました。根室の疥癬が知床から拡大してきたものかどうかはわか りませんが、北海道全体の疥癬の流行状況が気になります。そこで衛生研究所では、1999年に全道のキツネの感染状況調査を行いました。
  その結果、驚いたことに、道南地方を除く北海道全域から疥癬のキツネが発見されたのです。全道各地に根室と同じような疥癬のキツネがいる、となれば、根室 で起こったことが全道でも起こっている可能性があります。残念ながら、根室半島のような個体数調査はほかの地域では行われていないため、全道のキツネの生 息数の変化を直接知ることはできません。しかし、スウェーデンと同様に、ハンターによる捕獲数の変化を見ることは可能です。

キツネの数は?
 狩猟統計によれば、道内の狩猟と有害獣駆除をあわせたキツネの捕獲数は、1970年代後半から約20年にわたって年間1万頭前後で推移してきました。と ころが、筆者らが注目し始めた1999年度に捕獲数は大きく減少し、24年ぶりに7000頭を下まわったのです。その後も減少は続き、2000年度には 5000頭を切ってしまいました。予想どおりのことが起きているようです。このほか、札幌市内で車に轢かれて死亡するキツネの数も、疥癬が発見された年か ら急に減り始めました。
 どうやら、北海道全体で1990年代末からキツネの数が減ってきたようです。そして、その原因はヒゼンダニによる疥癬と思われます。
  では、これから北海道のキツネはどうなるのでしょう? 減り続け、やがて絶滅してしまうのでしょうか? その心配はなさそうです。まず、疥癬によって北海 道のような大きな島のキツネが絶滅した例はありません。また、疥癬の感染形式から、キツネの数があまり少なくなると、直接接触の頻度が減ってヒゼンダニの 伝播がうまくいかなくなると考えられます。ごく狭い地域でキツネがいなくなることはあり得ますが、それも周囲から移住してくるキツネによって、いつかは回 復すると考えられます。現に知床半島や根室半島、さらに札幌市内でも、最近はキツネの数に回復のきざしが見え始めました。ただし、このままどんどん回復し て、もとのレベルにまで戻るかどうかはわかりません。
 今後、北海道のキツネの数は、いつ、どれくらいまで回復するのか、そしてその後の変化は? エキノコックスの感染源であることから、道民の健康とおおいに関係があるキツネの個体数に、これからも注目していかなければなりません。

浦口宏二:(うらぐちこうじ)
神奈川県川崎市出身。1988年北海道大学大学院農学研究科修士課程修了。同年北海道立衛生研究所衛生動物科勤務。以後、人獣共通感染症媒介動物としてのキツネの生態調査・研究を行うほか、各種衛生害虫、食品混入異物の同定業務に従事。

 
 

この記事は、2008年5月19日に「しゃりばり」ウェブページに掲載されたものです。